Google, kanser teşhisi için yeni bir sistem geliştiriyor

🔬 Google, kanser tespitini kolaylaştıran yapay zeka destekli mikroskop geliştiriyor.

🧠 "Artırılmış Gerçeklik Mikroskobu"nun, doktorların örnekleri sınıflandırmasına ve kanser hücrelerini tespit etmesine yardımcı olması amaçlanıyor.

1. resim

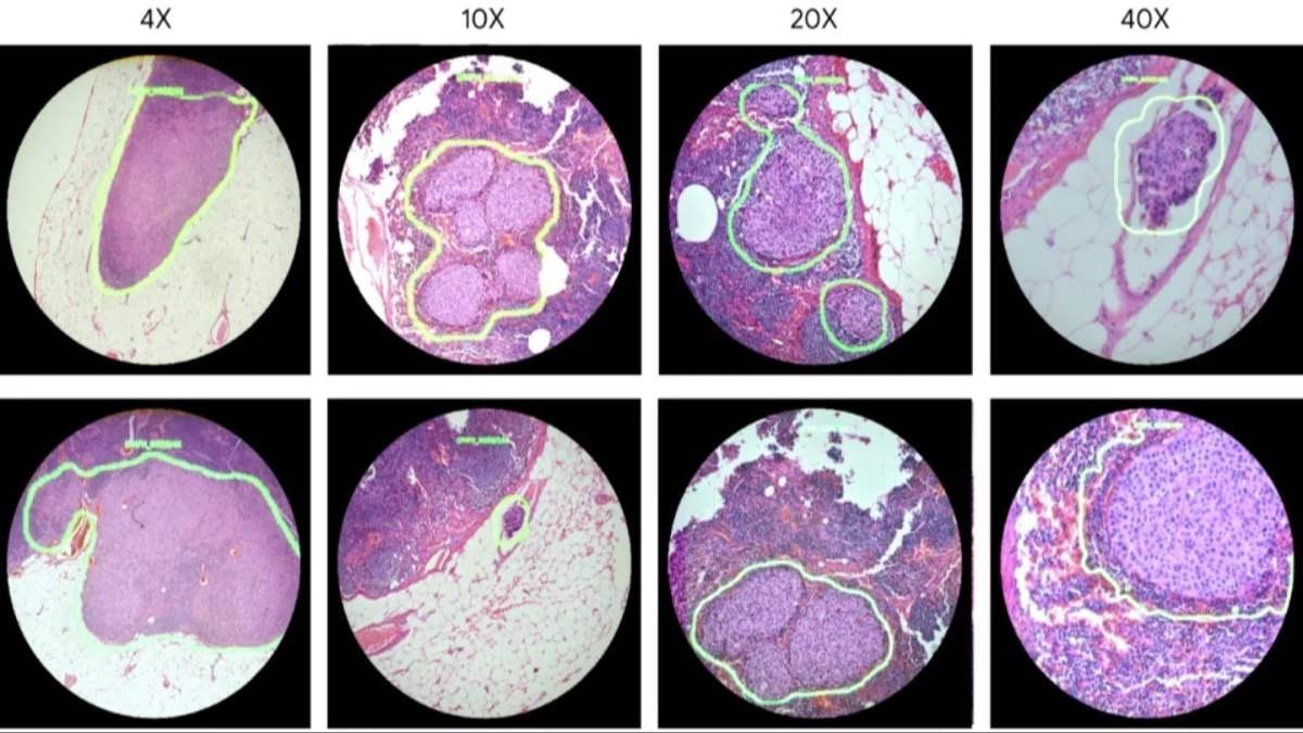
Google, ABD Savunma Bakanlığı ile birlikte, ısı haritaları veya nesne sınırları gibi görsel göstergeleri gerçek zamanlı olarak üst üste bindirmek için yapay zeka destekli "Artırılmış Gerçeklik Mikroskobu" (ARM) prototipi geliştirdi.

Yapay zeka sayesinde örneklerin sınıflandırılmasının ve kanser hücrelerinin ya da patojenlerin varlığının tespit edilmesinin kolaylaşacağı iddia ediliyor.

Artırılmış Gerçeklik Mikroskobu ARM ilk kez 2018 yılında kamuoyuna tanıtılsa da henüz hastalıkları tespit etmek için kullanılmadı. Şu anda ARM'ın 13 prototipi mevcut ve günlük klinisyenlere yardımcı olabilmesi için hala önemli testler yapılması gerekiyor.

Ancak Google'a göre amaç, "hastanelerde ve kliniklerde bulunan mevcut ışık mikroskoplarına uyarlanabilecek" bir sistem yaratmak. ARM donanımlı mikroskoplar daha sonra her biri benzersiz değerlendirme hedeflerine göre uyarlanmış metin, oklar, konturlar, ısı haritaları veya animasyonlar dahil olmak üzere çeşitli görsel geri bildirimler sağlayabilecek.

ABD Savunma Bakanlığı'nın Savunma İnovasyon Birimi, Google ile ARM’ın ordu aracılığıyla dağıtımını sağlayacak anlaşmalar üzerinde görüştüğünü ve bu sonbaharda bazı hükümet kullanıcılarına sunulabileceğini umuyor. ARM’ın maliyetinin 90.000 ila 100.000 dolar arasında olması bekleniyor.

Bununla birlikte Google Health, yalnızca teşhislerin doğruluğunu artırmakla kalmayıp aynı zamanda sağlık personelinin sınırlı olduğu tıp alanındaki boşlukları doldurmaya yardımcı olan yapay zeka destekli araçlara ilk defa yatırım yapmıyor.

Teknoloji devinin "sağlık hizmetlerini iyileştirmek" için yapay zekaya yatırım yapan girişimlerle ortaklık kurmaya önem verdiği ve son on yılda yapay zeka yatırımlarına 200 milyar dolardan fazla yatırım yaptığı tahmin ediliyor.

Dünya Sağlık Örgütü'nün 2030 yılına kadar dünya çapında 15 milyon sağlık çalışanı açığı öngördüğü düşünüldüğünde sağlık alanında yapay zekanın kullanılması büyük faydalar sağlayabilir.

Tartışma